神経を抜いて変色してしまった歯も白くなります!
こんにちは☀️おおべ歯科医院です🦷
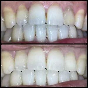
本日は、失活歯(神経が死んでしまった歯)のホワイトニングの症例のご紹介です😊


前から2番目の歯が、神経の治療によって変色してしまい、ウォーキングブリーチをされました。
グレーがかっていた歯が、3回でこんなに白くなりました✨
何もしていない反対側の歯より白いくらいになりました😆
歯が白くなるとお顔全体も明るくなります😊
笑顔に自信が持てるようになりますね!!
個人差はありますが、3.4回お薬の交換を繰り返すことで、他の歯と気にならないくらいになります😊
神経の治療後に歯が変色してしまい、気になっている方は是非ご相談下さい☺️