マウスピース矯正の途中経過をお知らせします
こんにちは☀️おおべ歯科医院です🦷
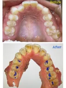
本日は、私のマウスピース矯正の途中経過のご報告です😊


去年の9月12日から始めたので、早いものでもうすぐ1年が経とうとしています。
1日最低17時間、理想は20時間以上のマウスピース装着…ほぼ毎日真面目に守ってきたつもりです。
私が矯正を始めたきっかけは、写真向かって1番右奥の歯の向きを直すことでした。
出っ歯も気にならなくはなかったですが、それよりも、磨くことのできない奥歯を何とかしたかった…。
矯正ついでに全体をキレイにしようと毎日コツコツ装着して1年経ちましたが、歯並びは見違えるほどキレイになりました✨
比較写真が、実際に口の中を写したものと口腔内カメラを使って撮影したものなので、撮影角度や歯の色の見え方に違いはあるものの、歯並びはキレイなアーチになっていることがわかります。
あとは下の歯の、向かって左側の歯の位置が変われば、キレイになるのではないでしょうか😊
歯並びは気になっていたものの、正直不安もありました。
でも、結果的にマウスピース矯正をして良かったと思うことばかりです。
これまでに何度も再シュミレーションをかけました。
歯科技工士という職業柄、理想的な歯並びを知ってしまっているが故にこだわってしまう…。
私の歯なんて、まじまじと見る人が居るはずもないのに、誰も気にしないところを気にしてしまう…完全に職業病です😂
そのせいで、もうすぐ終わる予定のマウスピース矯正はまだまだ終わりが見えませんが、期間が延びたとしても、納得のいく歯並びを手に入れたい!
ということで、いつまでかかるかわかりませんが、次回の報告は矯正終了のときだと思っていますので、その時をお楽しみに!!