ダイレクトボンディングの症例
こんにちは☀️おおべ歯科医院です🦷
花粉症の季節になりましたね🤧🌷
本日はダイレクトボンディングのお話です。

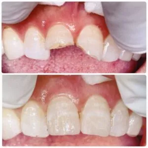
以前前歯2本を破折し、他院で治療した詰め物が取れてしまったため来院されました。
パッと見は破折したとわからないくらい自然になりました😊
光の加減と元からある白い帯状の模様でグレーっぽく見えますが、実際は自然な仕上がりになっています。
前歯の詰め直しや形態が気になる方はご相談ください😊
こんにちは☀️おおべ歯科医院です🦷
花粉症の季節になりましたね🤧🌷
本日はダイレクトボンディングのお話です。

以前前歯2本を破折し、他院で治療した詰め物が取れてしまったため来院されました。
パッと見は破折したとわからないくらい自然になりました😊
光の加減と元からある白い帯状の模様でグレーっぽく見えますが、実際は自然な仕上がりになっています。
前歯の詰め直しや形態が気になる方はご相談ください😊
2026年 (4)
2025年 (5)
2024年 (10)
2023年 (31)
2022年 (9)
2021年 (4)